Hip Arthritis is a common condition that occurs when the cartilage which overlies the femur bone or lines the acetabulum bone wears out and exposes ‘bone on bone’ articulation. It is a progressive disorder, meaning it gradually worsens over time.
Osteoarthritis is the most common form, characterised by the breakdown of the joint’s cartilage. The next common form is rheumatoid arthritis, which is a chronic inflammatory disease of the joint and soft tissues.
Less common forms are broadly categorised as ‘inflammatory arthritis’ including such conditions as ankylosing spondylitis, systemic lupus erythematosus (SLE), gout and juvenile arthritis.

Osteoarthritis usually affects middle aged and older people, although other forms of hip arthritis can occur in childhood or adolescence.
The exact cause of osteoarthritis is unknown, but patients may be a genetic predisposition, or it could be post-injury or the result of infection in the joint. Osteoarthritis has also been associated with advancing age and/or obesity.
Rheumatoid arthritis is more common in women and caused by the body’s own immune system attacking the joints, often affecting the small joints of the body first, such as the hands and fingers.
Symptoms usually include:
The hip is a ball-and-socket joint that is the point of articulation between the head of the femur (thigh bone) and the acetabulum of the pelvis. The surfaces of the bones at the joint are lined by a smooth and virtually frictionless surface of articular cartilage.
A complicated set of ligaments form a strong capsule around the joint, and a rim of fibro cartilage, called the acetabular labrum forms a ring that encircles the femoral head. A short ligament deep inside the hip joint called the ligamentum teres also helps to hold the ball in the socket.
Groups of strong muscles surround the hip joint which provide the force to move the joint. The hip flexor and quadriceps muscles are located at the front of the hip, while the gluteal muscles are to the side and behind the hip. Other small muscles are underneath the larger ones. The adductor (groin) muscles are on the inner side of the thigh and hip.

Early management of arthritis can include modifying activities to avoid aggravating factors, such as substituting running and jumping with walking, cycling or swimming.
Weight management and the cessation of smoking will increase the lifespan of the remaining cartilage, as can dietary supplementation with glucosamines and fish oils. Pain can be managed by paracetamol combined with anti-inflammatory medication.
Physiotherapy and hydrotherapy are used to strengthen the muscles surrounding the joint and walking aids such as a stick or frame can make the movement safer and less painful. A walking stick should be held in the opposite hand to the hip that is affected.
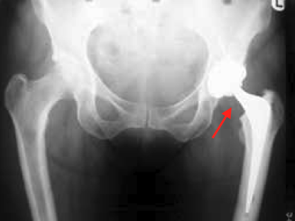
When non-surgical measures fail to provide effective relief, hip replacement surgery is considered. More than 40,000 hip replacements are performed in Australia per year to improve quality of life for sufferers of hip arthritis.
The procedure involves removing the damaged hip joint and replacing it with an artificial joint often made from polyethylene (metal on plastic) or ceramic components.
